HISLOBA HRP Polymers Are Here! Learn How to Improve Your Assays!

731 Bio
731 Bio
  • Home
  • Products
  • Services
  • Documents Library
  • More
    • Home
    • Products
    • Services
    • Documents Library
  • Sign In
  • Create Account

  • Orders
  • My Account
  • Signed in as:

  • filler@godaddy.com


  • Orders
  • My Account
  • Sign out

Get in Touch

Signed in as:

filler@godaddy.com

  • Home
  • Products
  • Services
  • Documents Library

Account

  • Orders
  • My Account
  • Sign out

  • Sign In
  • Orders
  • My Account
Get in Touch

amplify your signal, not your background with HISLOBA HRP

HISLOBA HRP Polymers

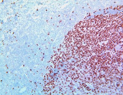
HISLOBA HRP Polymers, High Signal Low Background, are specifically designed to provide superior signal to noise performance for your immunoassays.  Use these HRP polymers for IHC, Western Blots, ELISAs, wherever HRP probes are required.  All batches of HRP polymers are quality controlled with image analysis quantification to ensure reproducibility and performance.  Need more information about the quality control process or other enzyme conjugates?  Contact us today for more answers!    

Featured Products

5663 Balboa Ave, #464  San Diego, CA 92111

Copyright © 2025 731 Bio - All Rights Reserved.

Powered by

This website uses cookies.

We use cookies to analyze website traffic and optimize your website experience. By accepting our use of cookies, your data will be aggregated with all other user data.

Accept